Кошница
Вашата кошница е празна

Количество:
0

Общо:
0

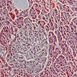
Панкреас (изображение с фазов контраст) - клетките на Лангерхансовите острови са по-бледи

Панкреас (изображение с фазов контраст) - клетките на Лангерхансовите острови са по-бледи

Панкреас (изображение с фазов контраст) - клетките на Лангерхансовите острови са по-бледи

200х увеличение

Биология и здравно образование

1024x683 / 648 kB

Ключови думи

mozaLink

/

Линк