Кошница
Вашата кошница е празна

Количество:
0

Всичко:
0

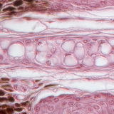
Хрущялна тъкан (от ушната мида на хамстер)

Хрущялна тъкан (от ушната мида на хамстер)

400х увеличение

Биология и здравно образование

1024x683 / 360 kB

Ключови думи

mozaLink

/

Линк