Кошница
Вашата кошница е празна

Количество:
0

Всичко:
0

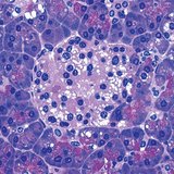
Група от клетки в панкреаса, които произвеждат инсулин

Група от клетки в панкреаса, които произвеждат инсулин

Група от клетки в панкреаса, които произвеждат инсулин

Биология и здравно образование

2. клас

86 kB

mozaLink

/

Линк